Linfoma Renal Primario en Panamá: Reporte de un Caso
Contenido principal del artículo
Resumen
Introducción: El linfoma No Hodgkin Primario Renal es poco frecuente, reportándose menos de 100 casos en la literatura. Su existencia, ha sido discutida, debido a que el riñón no contiene tejido linfoide.
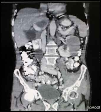
Caso Clínico: Paciente masculino de 64 años de edad que inicia con cuadro de dolor costolumbar bilateral, de intensidad 5/10, tipo cólico, irradiado a ambos flancos abdominales acompañado de parestesias en ambos miembros inferiores desde hace ±10 meses. Posteriormente, refiere presentar astenia, adinamia, anorexia, dolor somático permanente de intensidad 5/10 de localización en pelvis, columna sacra, lumbar, extremidades inferiores y debilidad muscular. Se realiza TAC abdominopélvico que evidencia masa sólida homogénea, única, de 8x7x7 cm en riñón izquierdo con metástasis ósea, hepática y esplénica. El estudio histopatológico muestra Linfoma B Difuso de células grandes.
Discusión: El paciente presentó un inicio rápido de síntomas relacionados con una masa renal que al ser estudiada radiológicamente confirmó una gran lesión renal sólida con compromiso de lesiones pequeñas en hígado, bazo y nódulos paraaórticos, sugiriendo que el órgano primario comprometido es el riñón izquierdo. Inicialmente se consideró un posible diagnóstico de Carcinoma de células renales metastásico, debido a la clínica y la epidemiología, por lo que se le realiza una nefrectomía radical izquierda. Sin embargo, el estudio histopatológico e inmunohistoquímico reveló un Linfoma B difuso de células grandes en estadio IV B.
Palabras Clave: Linfoma no Hodgkin; Primary renal lymphoma; renal cell carcinoma.
Caso Clínico: Paciente masculino de 64 años de edad que inicia con cuadro de dolor costolumbar bilateral, de intensidad 5/10, tipo cólico, irradiado a ambos flancos abdominales acompañado de parestesias en ambos miembros inferiores desde hace ±10 meses. Posteriormente, refiere presentar astenia, adinamia, anorexia, dolor somático permanente de intensidad 5/10 de localización en pelvis, columna sacra, lumbar, extremidades inferiores y debilidad muscular. Se realiza TAC abdominopélvico que evidencia masa sólida homogénea, única, de 8x7x7 cm en riñón izquierdo con metástasis ósea, hepática y esplénica. El estudio histopatológico muestra Linfoma B Difuso de células grandes.
Discusión: El paciente presentó un inicio rápido de síntomas relacionados con una masa renal que al ser estudiada radiológicamente confirmó una gran lesión renal sólida con compromiso de lesiones pequeñas en hígado, bazo y nódulos paraaórticos, sugiriendo que el órgano primario comprometido es el riñón izquierdo. Inicialmente se consideró un posible diagnóstico de Carcinoma de células renales metastásico, debido a la clínica y la epidemiología, por lo que se le realiza una nefrectomía radical izquierda. Sin embargo, el estudio histopatológico e inmunohistoquímico reveló un Linfoma B difuso de células grandes en estadio IV B.
Palabras Clave: Linfoma no Hodgkin; Primary renal lymphoma; renal cell carcinoma.
Detalles del artículo
Cómo citar
1.
Pérez C, Pineda C, Pinzón E. Linfoma Renal Primario en Panamá: Reporte de un Caso. Rev Méd Cient [Internet]. 20 de enero de 2014 [citado 7 de diciembre de 2025];25(2). Disponible en: https://www.revistamedicocientifica.org/index.php/rmc/article/view/356
Número
Sección
Casos Clínicos

Esta obra está bajo una licencia internacional Creative Commons Atribución-NoComercial-SinDerivadas 4.0.
Los autores otorgan al Comité Editorial de la Revista Médico Científica el derecho para publicar el presente artículo en la misma. A su vez, informan que el presente trabajo no ha sido publicado anteriormente.