¿ Litiasis Biliar en Paciente Con Enfermedad de Crohn? No Siempre Es Lo Que Parece

Contenido principal del artículo

Calixto Duarte Chang

Resumen

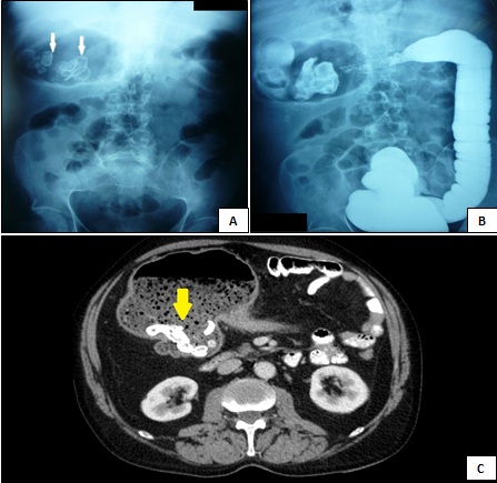
Presentamos el caso de un varón de 61 años con antecedentes de enfermedad de crohn que de forma incidental, en la radiografía simple de abdomen, se observa una gran imagen redondeada con múltiples imágenes radiopacas en su interior a nivel de hipocondrio derecho.


La tomografía abdominal mostró una zona de estenosis en colon transverso y a nivel de hipocondrio derecho una zona preestenótica, dilatada, con material fecaloideo en su interior con múltiples imágenes hiperdensas compatible con fecalitos.


Aunque sabemos que la ecografía de abdomen tiene una sensibilidad mayor que la radiografía simple de abdomen para la detección de colelitiasis, en muchas ocasiones tendemos a asumirla en un inicio.

Detalles del artículo

Cómo citar
1.
Duarte Chang C. ¿ Litiasis Biliar en Paciente Con Enfermedad de Crohn? No Siempre Es Lo Que Parece. Rev Méd Cient [Internet]. 30 de enero de 2014 [citado 16 de noviembre de 2025];26(1). Disponible en: https://www.revistamedicocientifica.org/index.php/rmc/article/view/370
Sección
Imágenes Clínicas
Biografía del autor/a

Calixto Duarte Chang

Médico Residente de 3er a?o

Servicio de Aparato Digestivo

Hospital Universitario Virgen Macarena

Sevilla, Espa?a

Artículos similares

También puede {advancedSearchLink} para este artículo.