Editor en Jefe

Edwin Araúz

 

Comité Editorial

Edward Taylor                 Jezibel Garrido

Ricardo Castillo                Greace Espino

Harold Bravo            Krisbell Hernández

Aillyn Liguas              José Felix Pan

Mayela Galástica                   Liliana Hau

Danitza Ureña            Emar Barraza

Jaime Cham                Nicole Arrocha

Hector Cedeño                       Jaime Chen

Alis Vásquez              Daniel Álvarez

Luis Pretto                  Felix Liu

Alina Vásquez                 Sara Rodríguez

Iveth Urriola               Iván Díaz

Isabella Correa                Elvis Zheng

Ruben Mariscal

Publicado: 2017-12-28

CARCINOMA ADENOIDE QUÍSTICO DE TRÁQUEA: REPORTE DE UN CASO CLÍNICO

Miguel Valdés Camaño, Humberto Serrud Espino, Rafael Santamaría

28-35

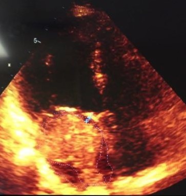
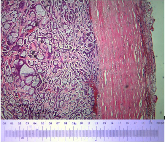
MIXOMA AURICULAR IZQUIERDO: REPORTE DE UN CASO

Abdiel Demera Coya, Yurielis Ramos Rodriguez, Diego Arcia de la Ossa, Amanda Mock Guitierrez

36-42

MELANOMA MALIGNO EN PACIENTE DE 74 AÑOS

Diego Carrillo, Betsy Bonilla

52-53