Editor en Jefe

Antonio Alvarado

 

Comité Editorial

      Esther Soto             Melissa Bonilla

    Luis Andros               Nichole Effio

  Thaislyn Rojas              José Garrido

      Alanna Armuelles      Mariel Armuelles

      David Ávila                Juan Hurtado

Laura Concepción          Ana Bernal

       Florin Rotar              Suzanne Pérez

    Yesenia Chong           Dianelle Soto

                                          Deny Park

 

Publicado: 2013-02-03

Editorial

Antonio Alvarado Armuelles

1

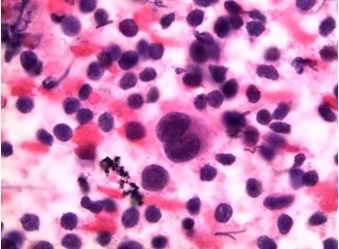
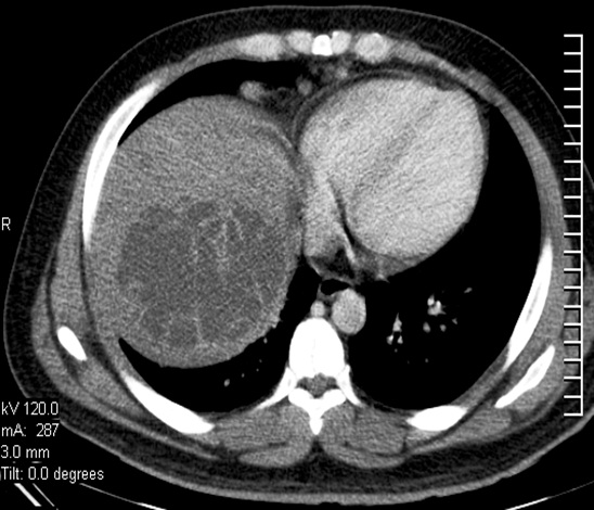
LINFOMA HODGKIN PRIMARIO DE TIROIDES: REPORTE DE UN CASO

Mónica Tribaldos Justine, Francisco Salazar Macías

24-34

ABCESOS HEPÁTICO Y CUTÁNEO POR BURKHOLDERIA PSEUDOMALLEI

Enrique Adames, Arlenne Méndez, Jossuet Barrios González

35-43

ERITEMA INDURADO DE WHITFIELD

José Ríos-Yuil, Emma Yuil de Ríos

44-45

TERATOMA DE OVARIO

Antonio Alvarado Armuelles, Emanuel Tejeira

46-47